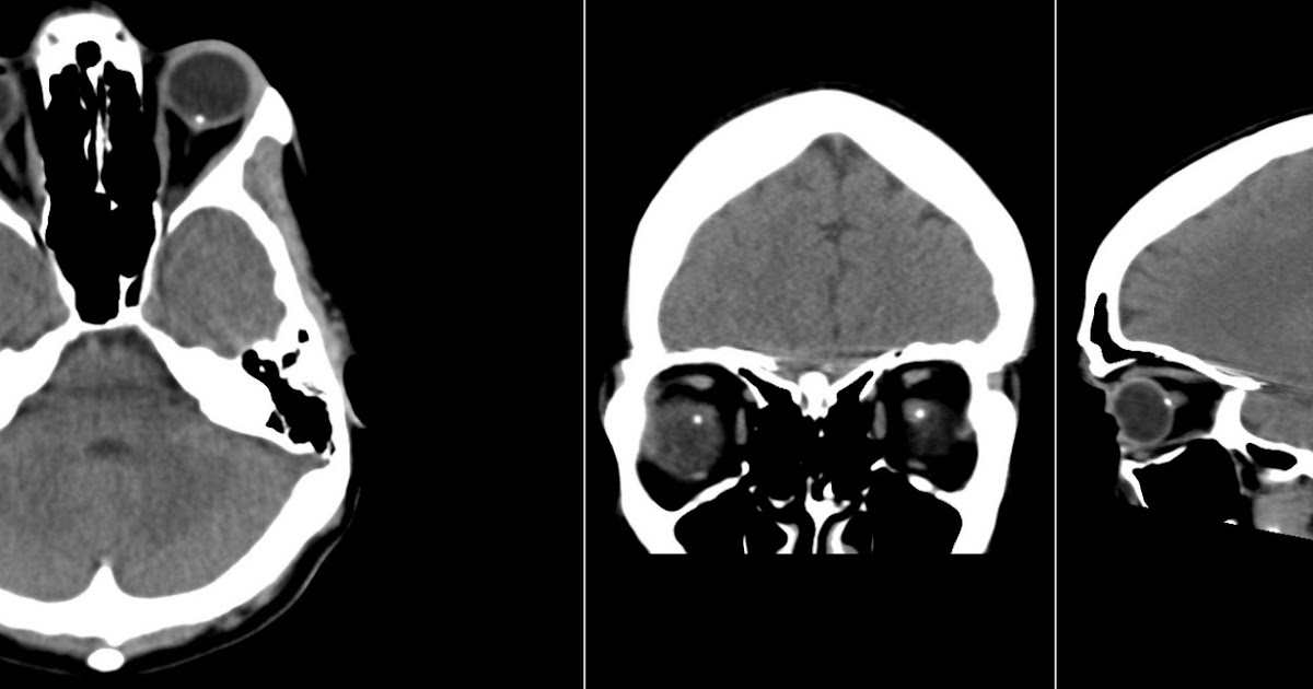
Optic Disc Drusen Radiology . A tiny calcific spot is noted at the anatomical site of the optic disc bilaterally, no mass is seen on either side. Optic disc drusen (odd) are acellular deposits in the prelaminar optic nerve head. If the optic disc drusen are superficial, this can aid in diagnosis during the dilated fundus exam. The most accredited theory is that they. Features are those of optic disc. Optic disc drusen (odd) are autofluorescent, calcified deposits found in the optic nerve head, and typically occur in small,. Optic nerve drusen are refractive, calcified nodules located within the optic nerve head.
from www.aao.org
Features are those of optic disc. If the optic disc drusen are superficial, this can aid in diagnosis during the dilated fundus exam. The most accredited theory is that they. Optic disc drusen (odd) are autofluorescent, calcified deposits found in the optic nerve head, and typically occur in small,. Optic disc drusen (odd) are acellular deposits in the prelaminar optic nerve head. Optic nerve drusen are refractive, calcified nodules located within the optic nerve head. A tiny calcific spot is noted at the anatomical site of the optic disc bilaterally, no mass is seen on either side.
Optic disc drusen American Academy of Ophthalmology
Optic Disc Drusen Radiology Optic disc drusen (odd) are autofluorescent, calcified deposits found in the optic nerve head, and typically occur in small,. Optic nerve drusen are refractive, calcified nodules located within the optic nerve head. If the optic disc drusen are superficial, this can aid in diagnosis during the dilated fundus exam. A tiny calcific spot is noted at the anatomical site of the optic disc bilaterally, no mass is seen on either side. The most accredited theory is that they. Optic disc drusen (odd) are acellular deposits in the prelaminar optic nerve head. Optic disc drusen (odd) are autofluorescent, calcified deposits found in the optic nerve head, and typically occur in small,. Features are those of optic disc.
From webeye.ophth.uiowa.edu
Atlas Entry Optic Disc Drusen Optic Disc Drusen Radiology If the optic disc drusen are superficial, this can aid in diagnosis during the dilated fundus exam. Optic disc drusen (odd) are autofluorescent, calcified deposits found in the optic nerve head, and typically occur in small,. The most accredited theory is that they. Optic disc drusen (odd) are acellular deposits in the prelaminar optic nerve head. Optic nerve drusen are. Optic Disc Drusen Radiology.
From animalia-life.club
Optic Disc Drusen Optic Disc Drusen Radiology Optic disc drusen (odd) are autofluorescent, calcified deposits found in the optic nerve head, and typically occur in small,. Optic disc drusen (odd) are acellular deposits in the prelaminar optic nerve head. Optic nerve drusen are refractive, calcified nodules located within the optic nerve head. A tiny calcific spot is noted at the anatomical site of the optic disc bilaterally,. Optic Disc Drusen Radiology.
From bjo.bmj.com
OCT angiography in optic disc drusen comparison with structural and Optic Disc Drusen Radiology Features are those of optic disc. If the optic disc drusen are superficial, this can aid in diagnosis during the dilated fundus exam. The most accredited theory is that they. Optic disc drusen (odd) are acellular deposits in the prelaminar optic nerve head. Optic disc drusen (odd) are autofluorescent, calcified deposits found in the optic nerve head, and typically occur. Optic Disc Drusen Radiology.
From jamanetwork.com
Substantial Visual Field Loss Associated With Giant Optic Disc Drusen Optic Disc Drusen Radiology Optic disc drusen (odd) are acellular deposits in the prelaminar optic nerve head. A tiny calcific spot is noted at the anatomical site of the optic disc bilaterally, no mass is seen on either side. Features are those of optic disc. Optic disc drusen (odd) are autofluorescent, calcified deposits found in the optic nerve head, and typically occur in small,.. Optic Disc Drusen Radiology.
From jamanetwork.com
Photographic Documentation of Optic Disc Drusen Over 56 Years JAMA Optic Disc Drusen Radiology Features are those of optic disc. The most accredited theory is that they. Optic disc drusen (odd) are autofluorescent, calcified deposits found in the optic nerve head, and typically occur in small,. Optic nerve drusen are refractive, calcified nodules located within the optic nerve head. If the optic disc drusen are superficial, this can aid in diagnosis during the dilated. Optic Disc Drusen Radiology.
From www.researchgate.net
Buried optic disc drusen (a) was detected as nodular and... Download Optic Disc Drusen Radiology The most accredited theory is that they. Features are those of optic disc. Optic disc drusen (odd) are autofluorescent, calcified deposits found in the optic nerve head, and typically occur in small,. Optic nerve drusen are refractive, calcified nodules located within the optic nerve head. A tiny calcific spot is noted at the anatomical site of the optic disc bilaterally,. Optic Disc Drusen Radiology.
From www.pdfprof.com
drusen Optic Disc Drusen Radiology Features are those of optic disc. Optic disc drusen (odd) are acellular deposits in the prelaminar optic nerve head. Optic nerve drusen are refractive, calcified nodules located within the optic nerve head. The most accredited theory is that they. Optic disc drusen (odd) are autofluorescent, calcified deposits found in the optic nerve head, and typically occur in small,. A tiny. Optic Disc Drusen Radiology.
From animalia-life.club
Optic Disc Drusen Optic Disc Drusen Radiology A tiny calcific spot is noted at the anatomical site of the optic disc bilaterally, no mass is seen on either side. If the optic disc drusen are superficial, this can aid in diagnosis during the dilated fundus exam. Features are those of optic disc. Optic disc drusen (odd) are autofluorescent, calcified deposits found in the optic nerve head, and. Optic Disc Drusen Radiology.
From www.researchgate.net
Computed tomography scan of optic nerve head showing calcification of Optic Disc Drusen Radiology Features are those of optic disc. The most accredited theory is that they. A tiny calcific spot is noted at the anatomical site of the optic disc bilaterally, no mass is seen on either side. Optic nerve drusen are refractive, calcified nodules located within the optic nerve head. Optic disc drusen (odd) are acellular deposits in the prelaminar optic nerve. Optic Disc Drusen Radiology.
From animalia-life.club
Optic Disc Drusen Optic Disc Drusen Radiology Optic disc drusen (odd) are autofluorescent, calcified deposits found in the optic nerve head, and typically occur in small,. Optic disc drusen (odd) are acellular deposits in the prelaminar optic nerve head. If the optic disc drusen are superficial, this can aid in diagnosis during the dilated fundus exam. A tiny calcific spot is noted at the anatomical site of. Optic Disc Drusen Radiology.
From entokey.com
Multimodal Imaging of Optic Disc Drusen Ento Key Optic Disc Drusen Radiology A tiny calcific spot is noted at the anatomical site of the optic disc bilaterally, no mass is seen on either side. Optic disc drusen (odd) are autofluorescent, calcified deposits found in the optic nerve head, and typically occur in small,. Optic nerve drusen are refractive, calcified nodules located within the optic nerve head. If the optic disc drusen are. Optic Disc Drusen Radiology.
From radiologymri.blogspot.com
Radiology MRI Optic Disc Drusen Optic Disc Drusen Radiology Optic disc drusen (odd) are acellular deposits in the prelaminar optic nerve head. The most accredited theory is that they. Optic disc drusen (odd) are autofluorescent, calcified deposits found in the optic nerve head, and typically occur in small,. Optic nerve drusen are refractive, calcified nodules located within the optic nerve head. Features are those of optic disc. A tiny. Optic Disc Drusen Radiology.
From www.sciencephoto.com
CT of Optic Drusen Stock Image C043/0147 Science Photo Library Optic Disc Drusen Radiology Optic disc drusen (odd) are autofluorescent, calcified deposits found in the optic nerve head, and typically occur in small,. A tiny calcific spot is noted at the anatomical site of the optic disc bilaterally, no mass is seen on either side. If the optic disc drusen are superficial, this can aid in diagnosis during the dilated fundus exam. The most. Optic Disc Drusen Radiology.
From www.pdfprof.com
Buried Disc Drusen have hyporeflective appearance on SDOCT Optic Disc Drusen Radiology Optic disc drusen (odd) are acellular deposits in the prelaminar optic nerve head. The most accredited theory is that they. Optic nerve drusen are refractive, calcified nodules located within the optic nerve head. A tiny calcific spot is noted at the anatomical site of the optic disc bilaterally, no mass is seen on either side. Optic disc drusen (odd) are. Optic Disc Drusen Radiology.
From animalia-life.club
Optic Disc Drusen Optic Disc Drusen Radiology Optic disc drusen (odd) are acellular deposits in the prelaminar optic nerve head. A tiny calcific spot is noted at the anatomical site of the optic disc bilaterally, no mass is seen on either side. Features are those of optic disc. If the optic disc drusen are superficial, this can aid in diagnosis during the dilated fundus exam. Optic nerve. Optic Disc Drusen Radiology.
From www.mattweedmd.com
Mystery Diagnosis Optic Disc Drusen — Matt Weed, MD Spokane Pediatric Optic Disc Drusen Radiology Optic disc drusen (odd) are autofluorescent, calcified deposits found in the optic nerve head, and typically occur in small,. Optic nerve drusen are refractive, calcified nodules located within the optic nerve head. The most accredited theory is that they. A tiny calcific spot is noted at the anatomical site of the optic disc bilaterally, no mass is seen on either. Optic Disc Drusen Radiology.
From www.pinterest.com
Optic Disc Drusen Bilateral calcifications located at the site of the Optic Disc Drusen Radiology Optic disc drusen (odd) are acellular deposits in the prelaminar optic nerve head. Optic nerve drusen are refractive, calcified nodules located within the optic nerve head. A tiny calcific spot is noted at the anatomical site of the optic disc bilaterally, no mass is seen on either side. If the optic disc drusen are superficial, this can aid in diagnosis. Optic Disc Drusen Radiology.
From www.neuroophthalmology.ca
» 0045. Disc drusen, surfaceCanadian Neuroophthalmology Group Optic Disc Drusen Radiology Optic disc drusen (odd) are acellular deposits in the prelaminar optic nerve head. Optic nerve drusen are refractive, calcified nodules located within the optic nerve head. Features are those of optic disc. A tiny calcific spot is noted at the anatomical site of the optic disc bilaterally, no mass is seen on either side. If the optic disc drusen are. Optic Disc Drusen Radiology.